Advanced Oral and Maxillofacial Surgery Course

Advanced OMFS

Date: Friday, July 31, 2026 - Saturday, August 1, 2026
Time: View the schedule for course times
Statutorily Approved CE Credit: Up to 16.5 hours 
Location: In-person at Gourley Clinical Teaching Center, Davis, CA
Enrollment Capacity: 24

REGISTER NOW

 

VIEW/DOWNLOAD SCHEDULE  (subject to change)

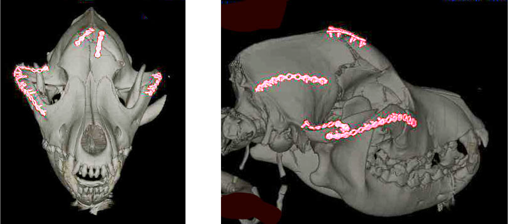
The Advanced Oral and Maxillofacial Surgery Course: Advanced Mandibular and Maxillofacial Trauma Management Using Internal Fixation in the Dog and the Cat, hosted by the Center for Continuing Professional Education, is designed to advance your understanding and technical skills for a variety of oral and maxillofacial fractures using internal fixation. The practical section of the course will be preceded by lectures designed to provide you with a platform to understand and perform each procedure.

Clinically important topics will be covered representing several mandibular and maxillofacial fracture scenarios frequently seen in veterinary oral and maxillofacial surgery (OMFS) practice. Furthermore, we will methodically approach common scenarios encountered in the field of oral and maxillofacial trauma surgery using internal fixation. Specifically, training will include management of mandibular fractures, maxillofacial fractures, and soft tissue trauma requiring the use of axial pattern flaps.

The use of internal fixation for repair of mandibular and maxillofacial fractures in dogs and cats is recognized as a rapidly emerging surgical treatment. This course is recommended for veterinarians with strong experience in management OMFS trauma and those who are interested in advancing their knowledge and skills to the next level of management of OMF trauma. We placed a strong emphasis on hands-on practical labs that will give you the opportunity to practice techniques discussed in the lectures.

After successfully completing this course, participants will have:

  • Reviewed contemporary approach to the use of internal fixation for repair or mandibular and maxillofacial fractures in dogs and cats
  • Established a better understanding of diagnostic imaging techniques and surgical planning
  • Solidified your knowledge of biomechanics and kinematics of the bones of the CMF region
  • Learn about the principles and clinical applications of internal fixation in the CMF region
  • Realized that you can now feel more comfortable providing more advanced surgical procedures in your veterinary practice and increasing the standard of care for your patients.
Advanced OMFS

Format:

  • Lectures by expert speakers on the latest trends and techniques in oral and maxillofacial surgery.
  • Hands-on Laboratories to practice and refine skills in a controlled, supportive environment.

Join us for an in-depth, hands-on learning experience that will elevate your practice and keep you at the forefront of oral and maxillofacial surgery.

SPEAKERS

  • Boaz Arzi DVM, DAVDC, DEVDC, FF-AVDC (OMFS)
  • Boaz Arzi

    Dr. Boaz Arzi is a Professor and Chief of Dentistry and Oral surgery at the Department of Surgical and Radiological Sciences, UC Davis School of Veterinary Medicine. Dr. Arzi completed the residency-training program in Dentistry and Oral surgery at the School of Veterinary Medicine, UC Davis and two years fellowship in the Department of Biomedical Engineering at UC Davis. He is a Diplomate of the American Veterinary Dental College (AVDC) and the European Veterinary Dental College (EVDC). Dr. Arzi is also a Founding Fellow of the AVDC in Oral and Maxillofacial Surgery. Dr. Arzi’s clinical and research focus is on oral maxillofacial reconstruction and regenerative solutions in dogs and cats. His lab also focus TMJ disorders and treatments across species and he is an affiliate member of the American Society of TMJ Surgeons. Dr. Arzi is the Director of the Veterinary Institute for Regenerative Cures (VIRC) at UC Davis. Ultimately, Dr. Arzi’s work is translational with the aim of One Health treatment modalities for both human and animal health.

  • Stephanie Goldschmidt BVM&S, DAVDC, DEVDC, F-OMFS
  • Stephanie Goldschmidt

    Dr. Stephanie Goldschmidt is an assistant tenure track professor in Dentistry and Oral surgery at the University of California- Davis. She completed her residency at the University of Wisconsin - Madison, where she also completed her undergraduate degree in Animal Science. She received her veterinary degree from the Royal School of Veterinary Studies at the University of Edinburgh, Scotland and then went on to complete a rotating internship at the Veterinary Medical Center of Long Island. Following residency training she spent five years as a clinical assistant professor at the University of Minnesota. She is currently undergoing fellowship training in both oral medicine and oromaxillofacial surgery. Her subspecialty clinical and research area is oral oncology, specifically she is focused on improving treatment paradigms with the use of theragnostic agents. Her current projects include using flourescence imaging to evaluate intraoperative surgical margins and evaluating EGFR expression in canine oral tumors.

  • Barbro Filliquist DVM, MAS, DACVS (SA), DECVS
  • Barbro Filliquist

    Dr. Barbro Filliquist earned her DVM from UC Davis in 2006, followed by an internship at the University of Pennsylvania and a surgical residency at UC Davis. She spent seven years in private practice, including five in Sweden, before returning to UC Davis in 2017. She holds a MAS from the Mentored Clinical Research Training Program and is a Diplomate of both the American and European Colleges of Veterinary Surgeons. Dr. Filliquist is a faculty member of AOVET and a frequent speaker and course instructor at national and international events. Outside of work, she enjoys outdoor adventures with her husband, their son, and two lively German Shepherds—though their cat prefers to stay behind.
     

REGISTRATION FEES

Be sure to register early to take advantage of Early Bird Pricing, available now through February 27, 2026 at 5 pm (PDT).

Standard Pricing will be in effect from February 27, 2026 after 5 pm to July 17, 2026 at 5 pm (PDT). A minimum of 16 registrants is required in order for the course to be held. If the course is canceled, registrants will be notified via email and a full refund will be issued.

Registration includes breakfast, lunch and coffee provided daily. If you have special dietary restrictions, please consider bringing your own food. A microwave will be available, however, a refrigerator will not be available for use. Don't forget to bring your own water bottle for all sessions; there will be a refill station available.

A social hour will be held on Friday, July 31, 2026, at Woodstock's Pizza located in Downtown Davis for $20. This is a great opportunity to connect with industry professionals, ask questions, and build valuable relationships in an informal setting. Be sure to RSVP for the social hour during registration!

REGISTRATIONEARLY BIRD
Register by February 27, 2026
STANDARD
February 27, 2026 - July 17, 2026
Veterinarian$2,999.00$3,399.00
ADDITIONAL WET LAB MATERIALS

REQUIRED: PRINTED LECTURE & LAB NOTEBOOK

You’ll receive your printed, full-color lecture and lab notebook during the registration check-in process on Day 1. This comprehensive resource is designed to support your learning throughout the course and serves as a valuable reference even after the event.

Our team will be there to ensure you have everything you need to get started. Be sure to stop by the registration table to pick up your materials and say hello — we’re excited to have you join us!

$100.00

PARKING AT THE VENUE

If you plan to drive, the closest Visitor Parking Lots are 51 and 57. Parking permits are required Monday through Friday from 7 a.m. to 10 p.m. Parking is free on the weekends. However, parking permits may be required if there are any campus events unrelated to this course during the weekend. You are responsible for paying for a parking permit should it be required; please check for signs in the parking lot.

Instructions on How to Pay for Parking

If parking permits are required, follow the information below to pay for parking.

  • Download the free AMP Park app on your iPhone or Android
  • Set up your profile (contact, payment, and vehicle information)
  • Select the zone which you parked using the map or icon in the top right corner of the app (click here for daily parking rates)
    • Aggies should register with their UC Davis email address (@ucdavis.edu) to access affiliate rates​​​​
  • Select the zone which you parked using the map or icon in the top right corner of the app (click here for daily parking rates)
  • Start your parking time

PREFERRED HOTEL LODGING

Below is the preferred hotel located in Davis offering a discounted rate. If you choose to stay here during your stay, please book your hotel reservation accordingly with the hotel. Room rates and availability are subject to change.

Hyatt Place UC Davis

Hyatt Place UC Davis
173 Old Davis Rd. Davis, CA 95616, USA

Receive a 10% discount on any available room types, including suites, during the course There are no cutoff dates, and no contract is required. Rooms are based on availability. By using this link, students will enjoy free breakfast. Parking is $17 per vehicle.

Follow the link and instructions below to reserve your discounted room. LINK: Hyatt Place UC Davis Discount 10% OFF-Booking Link

  • Ctrl+click on the link to take you to the hotel website. Using the link is important because your discount is built into the URL.
  • Click on the “Book Now” button, enter your arrival and departure dates, and click the “Book Now” button again. Here is where you will see room options for the UC Davis Discount.
  • Select your room type and proceed with the booking.

ENTERTAINMENT

For local activities and restaurants in Davis, please visit https://www.visitdavis.org/.

COURSE CANCELLATION AND REFUND POLICY

  • A refund, minus a 15% processing fee, will be granted if the cancellation request is received at least two weeks before the program start date.
  • For cancellations received less than two weeks before the start date, a refund will be issued, minus a 50% processing fee.
  • Registration is non-refundable after the program start date, including No-Shows. This means that cancellations made before the program begins on the start date are also non-refundable.

All cancellation requests must be submitted in writing. Please email your request to svmcontinuinged@ucdavis.edu.

In accordance with University policy and copyright law, the University prohibits distributing and/or posting on the internet any content from conferences without the explicit permission of the instructors and the UCD SVM CCPE.


 

 

 

 

Green Conference Design

Tags